Atrofia Vulvovaginale e Lichen in Ginecologia come l’Affrontiamo
Benvenuti alla nostra intervista sul tema della salute e benessere femminile con il Dott. Vincenzo Tortorella, ginecologo a Catanzaro.
Oggi discuteremo l’atrofia vulvovaginale e il Lichen, approfondendo aspetti quali definizione, tipologie, diagnosi e trattamenti.
1. Dottore, che cosa si intende per atrofia vulvovaginale?

L’atrofia vulvovaginale è una condizione in cui le pareti della vulva e della vagina subiscono un assottigliamento e una perdita di elasticità.
Questo spesso è causato dalla riduzione dei livelli di estrogeni, che può verificarsi durante la menopausa, ma anche in altre fasi della vita come durante l’allattamento o a causa di alcune terapie mediche, come le terapie oncologiche.

2. Quando si parla di Lichen e quali tipologie di lichen esistono in ginecologia?
Il termine “Lichen” si riferisce a condizioni infiammatorie o patologiche della pelle, e in ginecologia, ne esistono diverse tipologie.
Ad esempio, il Lichen Sclerosus e il Lichen Planus possono influenzare l’area vulvare, causando prurito, dolore e arrossamento.
Queste sono patologie croniche che richiedono una gestione attenta.
Il Lichen Simplex invece è una forma di dermatite che causa un’intensa sensazione di prurito che, a lungo andare, determina delle alterazioni della pelle, quali secchezza, desquamazione, discromie e vesciche.
3. Alcuni dati sull’atrofia: quanto è diffusa, quante donne ne soffrono?
L’atrofia vulvovaginale è piuttosto comune e colpisce molte donne, in particolare durante e dopo la menopausa. Si stima che oltre il 50% delle donne in età postmenopausale ne siano affette.
È importante riconoscere i sintomi e cercare assistenza medica quando necessario; molto spesso le donne sottovalutano il problema, considerando normali sintomi quali secchezza vaginale e difficoltà ad avere rapporti.
4. Quali sono i primi sintomi dell’atrofia vulvovaginale e del Lichen?
I sintomi possono variare, ma comunemente includono secchezza vaginale, prurito, bruciore e dolore durante i rapporti sessuali. Nel caso del Lichen, si possono osservare lesioni, erosioni o ulcere vulvari.
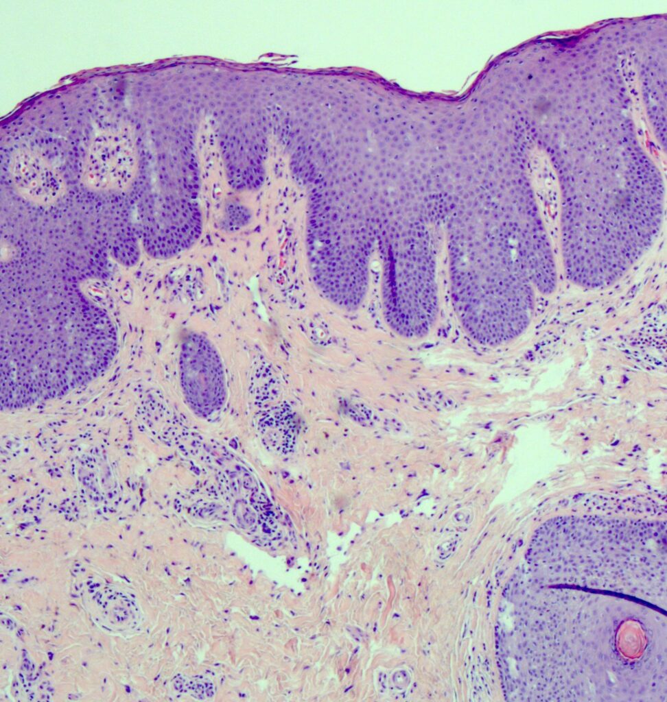
5. Come si effettua la diagnosi?
La diagnosi si basa sulla valutazione clinica e, in alcuni casi, potrebbe essere necessaria una biopsia per confermare il tipo di Lichen. È fondamentale comunicare apertamente con il proprio ginecologo per garantire una diagnosi accurata.
Quali sono i trattamenti per contrastare queste patologie?
Il trattamento con PRP (Plasma Ricco di Piastrine) per l’atrofia vulvovaginale e il lichen è un’opzione terapeutica estremamente consigliata.
Il PRP è prelevato dal sangue della stessa paziente attraverso un semplice prelievo e, attraverso piccole infiltrazioni, consente di migliorare qualitativamente la pelle. Gli effetti sono aumento del turgore, dell’elasticità, della tonicità e della compattezza.
Trattandosi di una componente autologa, consente di escludere qualsiasi forma di rigetto ed i rischi connessi all’utilizzo di molecole di natura animale o farmacologica.
Le Piastrine sono ricche di diversi fattori di crescita, cioè di sostanze in grado di stimolare ed attivare le funzioni di diverse cellule e di promuovere la crescita e la dilatazione dei vasi sanguigni, con maggior apporto di sangue ai tessuti.
Il risultato è una naturale biorigenerazione cellulare, tra cui in particolare quelle costituenti cute e mucose.
Tuttavia, è cruciale rivolgersi a un professionista esperto, preferibilmente presso un centro autorizzato, per garantire sicurezza ed efficacia.
L’uso di emocomponenti per uso non trasfusionale come il PRP richiede competenze specifiche e attenzione ai dettagli.
Come si articola il trattamento e quando si osservano i primi risultati?
Il trattamento si articola in due sedute, la seconda a distanza di 30/40 giorni dalla prima. Successivamente sará necessario effettuare una seduta all’anno per mantenere nel tempo i risultati raggiunti.
Solo in rari casi, magari particolarmente gravi, si renderà necessaria una terza seduta a 90 giorni dalla prima.
Dopo circa 20 giorni dal primo trattamento si avvertono i primi miglioramenti, anche se per raggiungere la condizione ottimale e per poter tornare ad avere rapporti, è necessario attendere almeno un mese dalla seconda seduta.
Cerchi uno Specialista Ginecologo in Atrofia Vulvovaginale e Lichen a Catanzaro?
Sintomi e Cura dell’ Atrofia Vulvovaginale e Lichen
Chi è il Dott. Vincenzo Tortorella
Doppia specializzazione con competenza globale nella sfera ostetrico ginecologica in ambito clinico, chirurgico e anestesiologico;
Percorso gravidanza dalla prima ecografia alla partoanalgesia;
Piccola chirurgia ginecologica in sedazione cosciente;
Specialista in:
- Ostetricia e Ginecologia
- Percorso gravidanza
- Piccola chirurgia ginecologica
Svolge la sua attività anche al Centro Ipazia Day Clinical Center